GC&Phenikaa

0961 580 001

AI 솔루션

혁신의 선두에 있는 당사의 AI 기반 의료 솔루션은 최첨단 기술을 활용하여 의료 산업을 혁신합니다. 머신러닝, 예측 분석, 그리고 고급 알고리즘을 통합하여 환자 진료를 개선하고, 병원 운영을 최적화하며, 의료 전문가가 정보에 기반한 의사 결정을 내릴 수 있도록 지원합니다.

LOGO CORELINE-GC&Phenikaa
LOGO LUNIT-GC&Phenikaa
LOGO WAYCEN-GC&Phenikaa
1

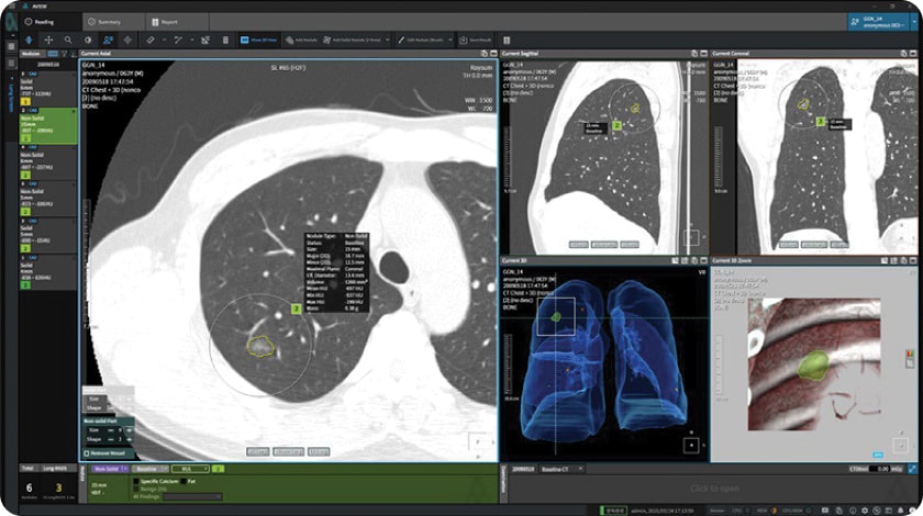
자동 결절 감지
및 폐 RADS 계산

영상 인공지능을 활용해 저선량 흉부 CT에서 놓치기 쉬운 폐 결절을 탐지하고 분석합니다.

환자의 상태를 파악하여 효율적으로 진단합니다.

미세 결절을 발견하면 기본 정보, 결절 개수, 크기 및 상태, RADS 범주 등 다양한 정보를 얻을 수 있습니다. 폐암으로 발전할 가능성이 있는 소견도 미리 확인하여 작업 시간을 단축하고 사례에 따라 효율적인 판독을 가능하게 합니다. 미세 결절 검출: 결절 개수, 크기, 상태, RADS 범주에 대한 포괄적인 정보 제공 잠재적 폐암 발생을 조기에 발견하여 시간 효율적인 스캔 판독을 가능하게 합니다.

작은 것부터 큰 것까지 다양한 크기의 결절 감지

anh-c-ai-1 anh-c-ai-h1
anh-c-ai-2 anh-c-ai-h2
anh-c-ai-3 anh-c-ai-h3
anh-c-ai-4 anh-c-ai-h4
anh-c-ai-5 anh-c-ai-h5
2

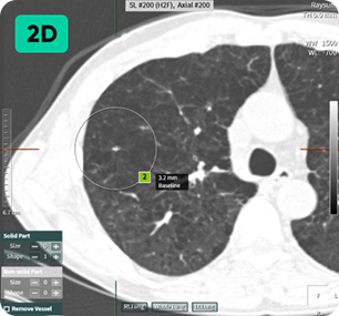
후속 모드

후속 조치와 이전 폐 CT 스캔을 자동으로 매칭하여 결절 변화를 즉시 평가합니다.

정확한 판독을 위해서는 결절 성장을 모니터링하는 것이 중요합니다.

aview LCS는 단순한 이미지 비교를 넘어 폐 결절을 매칭하여 성장과 변화를 자율적으로 평가합니다. aview LCS는 미국 영상의학회에서 권장하는 폐 CT 스크리닝 보고 및 데이터 시스템(Lung-RADS ver 1.1) 가이드라인에 따라 폐 결절을 관련 범주로 효율적으로 분류합니다.

후속 CT 스캔

이전 CT 스캔

3

임상 뷰어

CT 소견을 3D로 시각화합니다. 의료 전문가와 환자 모두에게 사용하기 편리한 뷰어입니다.

환자 폐의 고급 3D 렌더링.

2D Images May Not Provide Adequate Information of Abnormal Findings Visualized 3D Model of Patient’s Lung is much more informative and intuitive. Abnormal findings can be easily explained by demonstration of the 3D Model.